肺气肿怎么办呢
导读:肺气肿怎么办呢?肺气肿如何治疗呢?下面就来了解一下治疗肺气肿的小偏方。...

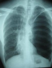
肺气肿
(久咳不愈)明矾一两,磨成粉用陈醋(最好用镇江陈醋)调成糊状,每晚睡前取黄豆大一团敷足掌心(涌泉穴,两足都敷),用布包好,次日晨揭去,连用7天有特效。
备注:此方仅供参考、具体诊疗请一定到医院在医生指导下进行!
热点排行
-
分享牛大力壮阳偏方 牛大力壮阳偏方 牛大力壮阳偏方有很多,最有效最简单的方法就是把它和生蚝放在一起煲汤喝, … [详情] -
芎芷石膏汤歌诀 头痛眩晕可服用芎芷石膏汤 处方芎芷石膏汤系由川芎、白芷、石膏、菊花、羌活、藁本组成,具有散风泄热 … [详情] -
逍遥散的组成 逍遥散的功效作用 由逍遥散化裁出了许多方剂,广泛运用于临床各科,多以柴胡、当归、白芍、甘 … [详情] -
温胆汤不适合哪些人喝 温胆汤有什么副作用 说起中药方剂,大家在日常生活中时常都碰见或者听闻某某配方能够治疗什么疾 … [详情] -
乌头汤方解 乌头汤组成 乌头汤方歌 寒湿痹证乌头汤,黄芪草芍配麻黄,说的就是乌头汤方歌!乌头汤处方是什么, … [详情]
好文阅读
-
水芹菜有哪些功效 水芹菜可增强食欲 然后加入百叶丝一起放入锅内,炒到水芹8分熟的时候加盐关火,利用余温翻拌 … [详情] -
我们该如何摆脱那无力的困顿感 夏季如何消困 用手从肢体末端往心脏的方向干刷身体十次左右。要注意手臂要转动,整个手臂 … [详情] -
女性怎么抗衰老 女性变老有4个阶段 女性一般25岁左右达到成熟峰值,卵巢功能发育阶段完结,内分泌系统属于最佳 … [详情] -
小儿支气管炎的护理方法 小儿支气管炎的食疗偏方 生大蒜头10个,醋200毫升,红糖100克。蒜头捣烂和糖调匀,放醋内浸泡3天, … [详情] -
男人剧烈运动后要注意哪些问题 有的人在剧烈运动后觉得吃些甜食或糖水很舒服,就以为运动后多吃甜食有好处 … [详情]

















